Invisalign

A popular alternative to traditional braces, Invisalign® is designed to be as comfortable and inconspicuous as possible. More and more patients are asking their dentists if Invisalign treatment is a good option for their dental health needs.

Kellyn Hodges Orthodontics can use Invisalign to help teens and adults with crooked teeth throughout Philadelphia, PA.

How Invisalign Works: The Basics Clear, Comfortable, and Convenient Orthodontic Treatment

The Invisalign system uses clear aligner trays that are custom-fabricated from BPA-free plastic. There are no brackets, wires, or bands like traditional braces.

Patients wear their aligners for about 22 hours a day, only removing the aligners to brush their teeth, floss, and eat. After about two weeks, Invisalign patients will discard their current aligners and move on to the next clear aligners in their treatment plan.

Invisalign results and treatment times are comparable to those of traditional braces. At the end of Invisalign treatment, patients can expect to have straight teeth, beautiful smiles, and improved oral health.

Dr. Kellyn Hodges on Invisalign What Patients Can Expect from Clear Aligner Treatment

Dr. Hodges provides a rundown of the Invisalign procedure and its advantages for adults and teens with crooked teeth. Kellyn Hodges Orthodontics has three office locations: one in Montgomeryville, another in Bensalem, and another in Bala Cynwyd, PA. If you live in Greater Philadelphia and are interested in Invisalign, get in touch with us today.

Straighten Your Teeth without Braces Speak with a Philadelphia Invisalign Provider for Free

 
We invite you to schedule a consultation at one of our dental offices serving Philadelphia. Our orthodontists can discuss your options and review your candidacy to see if Invisalign treatment is right for you. You can message our team to learn more or call us at:

Better Oral Health Throughout Philadelphia Orthodontic Treatment That Puts Your Needs First

"Kellyn Hodges Orthodontics cared very deeply if I was pleased with their service. They ensured I was happy with the service. Each doctor in the office also made sure that everything was in place before removing my braces. Whenever I asked questions, they made sure to answer them and even go in details for me to understand. I am very happy with the end results!" Taylor Sarita - 5-Star Google Review

What Makes Dr. Hodges the Right Choice for Invisalign?

Greater Philadelphia is home to plenty of Invisalign providers. Here is why so many throughout the area turn to Dr. Hodges:

Results That Look Incredible

Orthodontics can improve your oral health, help you look your best, and provide an exciting lift in confidence. Dr. Hodges excels at providing results that complement your facial features in all the right ways. If you want to look great in addition to having a healthier smile, this is the practice for you.

More Than Three Decades of Experience

Experience is something that can only be earned. Dr. Kellyn Hodges has been perfecting her orthodontic skills since 1989. She's been an Invisalign provider in Greater Philadelphia for as long as it has been available. Dr. Hodges possesses one-of-a-kind insight on how to maximum the benefits of Invisalign.

A Focus on Orthodontic Care

Many general dentists provide Invisalign, but under a specialist's care, you are more likely to achieve results that provide you with a lifetime of satisfaction. As an orthodontist, Dr. Hodges has completed specialized training in orthodontics that can help you start a new chapter of beautiful smiles, elevated confidence, and exceptional oral health in your life.

Helping You Feel Comfortable and Cared For We Try to Make a Difference at Kellyn Hodges Orthodontics

If you're looking for an experienced Invisalign provider serving Philadelphia, our orthodontic practice has a lot to offer. We always try to connect with our patients and make them feel like they're part of the family. Come visit our offices in Bala Cynwyd, Montgomeryville, and Bensalem, PA. Our entire team can't wait to meet you for the first time or see your smile yet again.

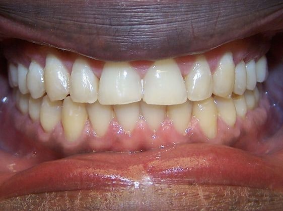
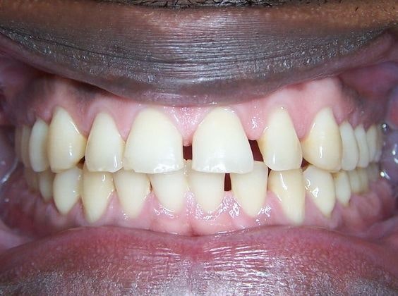
Stunning Invisalign Results See the Difference Made with Clear Custom Aligners

Kellyn Hodges Orthodontics patient before Invisalign
Before Invisalign Treatment
Kellyn Hodges Orthodontics patient after Invisalign
After Invisalign Treatment
This patient's gapped teeth detracted from their appearance. Notice the prominent gap between the front teeth and other spacing issues on the upper and lower dental arches. Invisalign achieved a more attractive and properly aligned smile. Invisalign results like these are why people from Greater Philadelphia visit Kellyn Hodges Orthodontics for this braces alternative.

Come Visit One of Philly's Top Orthodontists Contact a Trusted Philadelphia Invisalign Provider Today

Our orthodontic practice has locations throughout Greater Philadelphia and offers a range of options for patients looking to improve the appearance of their smile. Our team of friendly dentists, orthodontists, and dental professionals is here to help you achieve the smile of your dreams. If the thought of metal braces is putting you off from treatment that could have an immensely positive impact on your overall health and self-esteem, you may want to consider aligners by Invisalign.

For patients who qualify, Invisalign allows for a virtually invisible alternative to braces. To schedule a consultation at our Greater Philadelphia orthodontics practice and learn more about your treatment options, contact us online or call:

(610) 617-0700

Top dentists logo

A Leading Orthodontist Serving the People of Philadelphia Reviews for Our Orthodontic Office in Montgomeryville, PA

1

Camilla V

Montgomeryville, PA

2024

Google logo

I’ve just finished my treatment with Kellyn Hodges Orthodontics (Montgomeryville) and I am very happy with my results! I absolutely recommend their services, not only because they’re very good at what they do, but also because the office staff is very kind and pleasant, they maintain cleanliness and organization, and they’re always willing to work with you (Shoutout to Sonja!).

View on Google
1

Paula Gardner

Montgomeryville, PA

2024

Google logo

Dr Kellyn Hodges Orthodontics practice is a place of professionalism and kindness. Her entire staff is very cordial and pleasant. The orthodontists were great. The front desk staff and the dental hygienists were wonderful. I was a client for about 36 months and I was treated very well the entire time. I am well pleased with my teeth. They are beautiful. If you’re looking for a pleasant, relaxing and professional experience Dr Kellyn Hodges Orthodontics is the place for you. You will not be disappointed

View on Google

How Much Does Invisalign Cost?

Given the many attractive benefits of Invisalign, you may be thinking this solution is prohibitively expensive. The good news is that in most instances, Invisalign costs are comparable to that of traditional braces. And just like braces, most insurance plans contribute to at least a portion of the cost of Invisalign.

During your free consultation at one of our offices in Greater Philadelphia, we can provide a custom Invisalign price quote. This will take your treatment plan into account and the need for any preparatory procedures before we proceed with fabricating your aligners.

Invisalign Consultation

Financing Is Available to Keep Invisalign Prices Affordable

If you are uninsured, or if you need help budgeting or covering any out-of-pocket expenses associated with Invisalign, we work with CareCredit® financing to make this solution accessible to you.

Based on your credit score, CareCredit can provide you with an interest-free or low-interest payment plan that allows you to experience the benefits of Invisalign without straining your finances.

These financing plans are available at our offices in Bala Cynwyd, Bensalem, and Montgomeryville, PA. This allows more people in Greater Philadelphia to get Invisalign treatment and experience the many benefits of orthodontics with invisible aligners.

Conflicted About Invisalign? We Help You to Make the Right Choice

The cost of getting Invisalign can be a burden on some budgets. We want you to feel absolutely confident under our care, which is why we offer free consultations. Learn if aligners are right for you without any risk or sense of obligation. Request your free consultation today by completing our form or calling us directly.

Convenient Payment Plans for Invisalign We Help Keep Orthodontic Treatment Affordable

"Dr. Hodges office was wonderful! As soon as you walk in the door you are greeted by friendly staff that make you feel very comfortable. The monthly payment plan was very helpful to spread the cost out over 2 years instead of needing to pay all at once. We would definitely recommend this office to others!" Ashley Schea - 5-Star Google Review

Who Is a Candidate for Invisalign?

Invisalign treatment can correct many of the same orthodontic issues as braces. That means we can use aligners to treat many patients in Greater Philadelphia looking to straighten their smiles. The Invisalign clear aligner system can effectively treat these common issues:

  • Overbites
  • Underbites
  • Crossbites
  • Crooked teeth
  • Gapped teeth
  • Crowded teeth
  • Rotated teeth
  • Open bites

Invisalign treatment may not be appropriate for all patients. Those with severe or complex malocclusion may be better candidates for more conventional orthodontic treatments such as braces. We offer a range of options and are confident we can help you achieve your goals.

Invisalign Is a Great Option for Teenage and Adult Patients

You're never too old for Invisalign. We treat many teens and adults at our offices in Bala Cynwyd, Bensalem, and Montgomeryville, PA.

Invisalign for Teens

Teens love Invisalign aligners since they are difficult to detect, even when people are nearby. Swapping the old aligners for the next set of custom-made aligners every two weeks is convenient as well.

Invisalign aligners help teens get the treatment they need without feeling self-conscious about having traditional metal braces.

Invisalign for Adults

Adults appreciate Invisalign aligners since they correct crooked teeth invisibly. Few people will notice the aligners while you're at work or attending a social gathering.

Many adults are pleased that Invisalign provides the orthodontic care they missed out on earlier in life.

Dentist showing adult patient an Invisalign aligner

Invisalign vs. Traditional Braces Comparing Orthodontic Treatments

The Invisalign system offers a wide range of benefits compared to metal braces, but it's not the best choice in every case. Patients throughout the Philadelphia area can depend on Dr. Hodges and her staff to conduct a close analysis of your candidacy and goals. Here is how Invisalign compares to braces:
  • Overall Treatment Time

    Although it is often quicker than braces, Invisalign treatment times can span several months or more. If you are looking for faster orthodontic treatment, our dentists can provide fast-acting adult orthodontics plans that can achieve full tooth movement in a matter of months. This is especially popular among patients with a wedding or other major milestone on the horizon.
  • Candidacy for Treatment

    Invisalign is popular with people of different age groups, but it is not right for everyone. Severe overbites or other forms of pronounced malocclusion are best treated with traditional braces. We want to straighten your smile in the simplest and most convenient way possible, but we won't recommend a treatment that isn't capable of producing the results you deserve.
  • Personal Commitment to the Process

    Braces and Invisalign come with their own unique requirements. With Invisalign, you must wear your trays 20-22 hours a day, and you must take care not to misplace your aligners. Although many would agree that it is more difficult to clean your teeth when wearing braces, certain patients may be better off with an orthodontic solution that can't be lost or forgotten.
  • Adjustment Periods During Treatment

    Invisalign's custom-made aligners apply gentle pressure to your teeth, so they may feel a bit strange during the first few days. There is also discomfort when patients get their braces adjustment, and it is typically considered more pronounced than the discomfort of switching to new Invisalign trays. Both Invisalign and braces patients will receive instructions for minimizing pain during these adjustment periods.

Is Invisalign for Me? Consult with an Orthodontist

For many patients, Invisalign's removable aligners provide significant advantages over traditional braces. That's why so many adults and teens in Greater Philadelphia are asking their dentists if it's an ideal treatment for their needs. Dr. Hodges and her team can assess your dental health and tell you if you are a good candidate for Invisalign.

If you live in the Philadelphia area and would like to learn more about Invisalign, contact us online or call to request an appointment:

(610) 617-0700

Get Invisalign from a Trusted Philadelphia Orthodontist Reviews for Our Orthodontic Office in Bensalem, PA

1

Steven Schnepp (CSMSteve)

Bensalem, PA

2024

Google logo

My experience at Hodges Orthodontics was great from start to finish. The staff was friendly and courteous, and was able to work around my schedule. They were always willing to accommodate when a conflict arose. My teeth look 100% better than they did at the start, and I’m very pleased with the results. I highly recommend Hodges for anyone searching for an orthodontist. Five star for sure.

View on Google
1

J Rosa

Bensalem, PA

2024

Google logo

Everyone in this office was extremely polite,professional and will do anything to make sure your taking care of this people did the impossible in my mouth they went beyond my expectations amazing wow I will always be grateful God bless

View on Google

The Invisalign Process What Happens During Clear Aligner Treatment

An attractive alternative to traditional metal braces, Invisalign combines the orthodontic effects of braces with cosmetic benefits thanks to a series of clear, removable aligners.
An attractive alternative to traditional metal braces, Invisalign combines the orthodontic effects of braces with cosmetic benefits thanks to a series of clear, removable aligners.

Impressions and Treatment Planning

The clear aligners are created by taking dental impressions, clinical photographs, and X-rays of the patient's teeth. This information is then sent to Align Technology. There, a computer creates a 3D model that allows technicians to create a series of clear aligners that will slowly move the teeth over time into the prescribed position that your orthodontist deems appropriate.

Creating Your Aligners

Once your dentist or orthodontist at our Philadelphia-area offices approves the treatment plan, a plastic resin aligner is created for each stage of the Invisalign treatment process. While numbers vary depending on the case, the average Invisalign patient will receive between 18 and 30 different clear aligners over a period of about one year.

Daily Care

Invisalign patients must be sure to wear their aligners at least 20 to 22 hours a day, removing them only to eat, drink, or clean your teeth. Brush twice a day, floss at least once per day, and rinse your mouthpiece in cool water before placing it back in your mouth. Hot water could warp your mouthpiece.

Periodic Checkups

During the treatment process, you'll stop by the office for periodic check-ins with our team. This is an opportunity for us to monitor your progress. It's also an opportunity for you to raise any concerns you may have and touch base with us about your dental health.

Making Final Adjustments

After you've finished wearing your final aligner, we may do a few last adjustments to make sure your teeth are as straight as they can be. If you've expressed interest in cosmetic dentistry procedures like teeth whitening to achieve a total smile makeover, those can be incorporated into these last touchups.
Man admiring his smile in a mirror

How to Maintain Your Invisalign Results

Similar to traditional braces or any orthodontic procedure, a retainer must be worn following Invisalign treatment. This will help prevent your teeth from shifting out of alignment over time.

Invisalign patients will only have to wear their retainers while they are asleep, not while going about their normal daily routine.

We recommend patients clean their retainers regularly to help keep them free of bacteria and sanitary. Patients should also continue to brush and floss regularly in order to prevent tooth decay and gum disease.

If you misplace or break your retainer, be sure to contact our office as soon as possible. We will make sure you receive a replacement retainer so you can keep your smile looking its best.

Straight Teeth Are Within Your Reach Contact an Experienced Philadelphia Invisalign Provider

With offices in Bala Cynwyd, Montgomeryville, and Bensalem, Kellyn Hodges Orthodontics is your resource for Invisalign in Greater Philadelphia. Thanks to our financing plans and payment options, we can help you find the treatment that fits your budget and meets your oral health needs.

Discover the benefits of modern teeth straightening. To discuss Invisalign with an experienced orthodontist, contact our practice today.

(610) 617-0700

We All Genuinely Care About You Making Beautiful Smiles in Philadelphia, PA

"I had a phone consultation with Dr. Hodges and she was so patient, explained things incredibly well, and you can see that she deeply cares for people!!" Esther Boer - 5-Star Google Review

Invisalign FAQ

What should I do if I lose an Invisalign aligner?

If you lose your current aligner, go ahead and wear the previous aligner or the next aligner in your treatment plan (whichever fits better). Contact our offices in the Philadelphia area to find out if you need a new set of trays to replace the aligners you lost.

How does the Invisalign system compare to other clear aligner options like ClearCorrect or SmileDirectClub?

Invisalign was founded in 1997 and is the most well-known clear aligner brand on the market today. While people have achieved success with systems like ClearCorrect™, we stand by using Invisalign because of how reputable and effective it's been over the years. We should also note that SmileDirectClub ceased operations at the end of 2023. If you were wearing SmileDirectClub aligners, please reach out to us and we can get you back on track.

My teeth look straight, but my dentist said I need Invisalign. Why is that?

Front teeth that seem fine don't tell the whole story about your overall tooth alignment. Minor malocclusion of the front teeth can still cause problems, as can crooked molars, premolars, and canines. There might also be a problem with the way your upper and lower teeth fit together. A dentist or orthodontist can let you know if you need teeth straightening and if Invisalign aligners are right for you.

Can my Invisalign aligner be used as a mouth guard for teeth grinding?

No. While the BPA-free plastic used in the aligner trays is relatively durable, an Invisalign aligner is not designed with the same strength or durability as a dedicated night guard worn by people with bruxism. If you grind your teeth at night, we can discuss your Invisalign treatment plan as part of the consultation process.

Have an Invisalign Question We Didn't Answer? Contact Our Offices in the Philadelphia Area

There are many aspects of Invisalign we didn't get a chance to cover here. If you've wondered about clear aligners and whether they're right for you, we can evaluate your candidacy and provide additional info on cost, financing, insurance, and more.

We've got your new smile covered from the first visit to our office to the use of post-treatment Invisalign retainers. To get the answers you're looking for, contact our Greater Philadelphia orthodontic practice.

(610) 617-0700

A Trusted Philadelphia Invisalign Provider Reviews for Our Orthodontic Office in Bala Cynwyd, PA

1

Tanya Scott

Bala Cynwyd, PA

2023

Google logo

A have to say my teeth look’s amazing I was very impressed that my teeth came out looking prefect. My last visit with Linda was amazing she made my teeth look like veneers. The staff is also great.

View on Google
1

Kimmie Shah

Bala Cynwyd, PA

2023

Google logo

From the staff to the doctor's. My experience over exceeded my expectations! I am pleased with my results and I look forward to my continued dental care at Elegence! I also want to shout out Dr. Chris..Love him to pieces!!

View on Google
Kellyn Hodges Orthodontics staff

Kellyn Hodges Orthodontics

At Kellyn Hodges Orthodontics, serving patients in Bala Cynwyd, Bensalem, and throughout Philadelphia, we are committed to helping children and adults of all backgrounds achieve beautiful, healthy smiles. Our compassionate and widely respected doctors are members of prestigious dental organizations, including: 

  • American Association of Orthodontists
  • American Dental Association 
  • National Dental Association
  • National Board of Orthodontics, U. S. 

To reach our helpful, multilingual staff, call us at (610) 617-0700 or request a consultation online.

Contact Us Today

We love Kellyn Hodges! She listens to her patients and provides excellent care! Her staff is very friendly and helpful as well! Tara F.

Rate, Review & Explore

Social Accounts Sprite